BON ANIMAL MEDICAL CENTER
병원소개
병원의 비전과 가치 그리고 다양한 진료서비스 안내
BON ANIMAL MEDICAL CENTER
병원소개
병원의 비전과 가치 그리고 다양한 진료서비스 안내
![]()
최신의료장비
저희 동물병원은 경기도 최초로 하이엔드급 MRI(3T)와 CT(160ch)를 도입하여 질병을 보다 정확하게 진단할 수 있을 뿐 아니라 마취 시간을 기존 대비 30% 이하로 단축하였습니다.
줄어든 마취시간 만큼 마취 위험성을 유의적으로 감소시켰으며, 고퀄리티의 영상은 빠르고 정확한 진단명을 제공하고 있습니다.
![]()
전문적인 판독
다년간의 경험과 실력이 검증된 다수의 영상의학 전공 수의사로 구성된 본동물의료센터 영상진단의학팀은 신속하고 정확한 영상 판독 결과를 제공하고 있습니다.
이를 바탕으로 아이들에게 올바른 진단을 내리고 최적의 치료 시기를 놓치지 않도록 내과와 외과가 함께 협진하며 치료 성공률을 높이는 데 기여하고 있습니다.
01
예약
전화를 통한 의뢰 예약
(필요 서류 : 진료의뢰서, 마취 전 검사자료, 검사 및 마취 동의서)
02
접수
환자 내원 후 간단한 문진,
검사 전 필요 서류 또는 검사자료 확인
03
검사
마취 및 검사 소요시간
· CT : 1시간 내외
· MRI : 촬영 부위에 따라 다름
04
퇴원
마취 회복(30분-2시간) 후 당일 퇴원
05
판독
검사자료 당일 발송, 영상진단의의 판독을 바탕으로 24시간 이내에 종합소견서를 의뢰병원으로 발송
높은 수준의 해상도를 획득할 수 있는
3T MRI와 160ch CT 장비로
정확한 병변의 진단
우수하고 전문적인
영상의학 전공 수의사의
정확하고 신속한 판독
짧은 촬영시간으로 마취 시간 감소,
전문의료진의 모니터링과
호흡 마취를 통한 안전한 마취
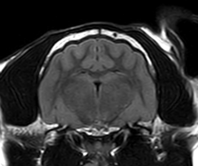
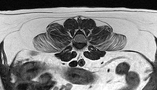
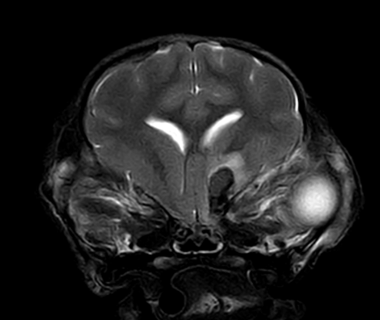
3T MRI
기존 본원에서 이용하던 1.5T 장비와 비교하여 높은 해상도와 빠른 스캔 시간(촬영 부위 당 30분 미만)으로 MR 촬영 시 환자의 마취 부담을 줄일 수 있습니다.
3T MRI는 국내 동물병원에서 최상급 촬영 장비에 해당하며 본동물의료센터의 MRI는 3T MRI 중에서도 하이엔드급 장비(Philips Ingenia)를 사용하고 있습니다.
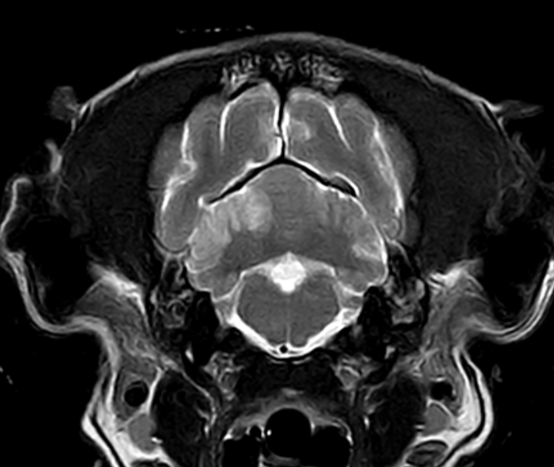
TRANS, T2WI
TRANS, FLAIR
TRANS, T1WI IR
두개 내 출혈(개)
소뇌 경색(개)
뇌 수두증(고양이)
정상 디스크
급성 추간판 탈출증 환자
정상 디스크
급성 추간판 탈출증 환자

01뇌 MRI
· 뇌신경계 질환의 정확한 감별 및 조기진단
· 뇌수두증, 뇌출혈, 뇌종양, 뇌수막염, 소뇌탈출 등
· 전정계(중이, 내이) 질환의 진단
· 안구질환의 진단
02척추 MRI
· 통증, 마비의 원인 진단
· 척추 실질 질환의 진단
· 추간판 탈출증, 척수공동증, 척수연화증 등
03근골격계 MRI
· 해부학적 구조평가
· 근골격계 질환의 진단
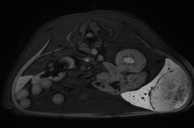
04복부 MRI
· 간, 골반강 평가
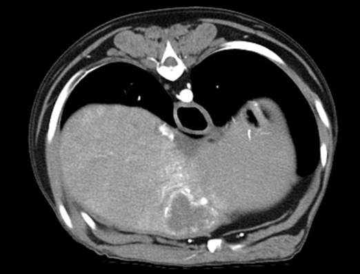
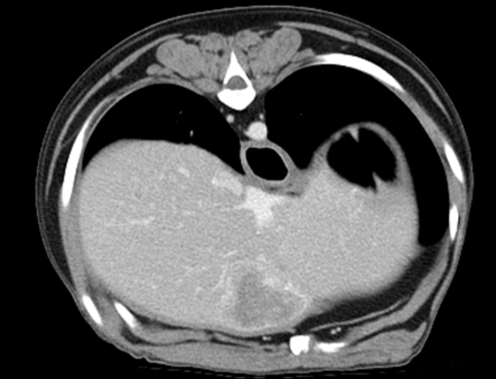
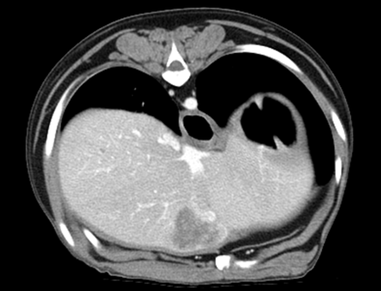
160ch CT
160 slice CT는 빠른 속도로 환자의 마취 시간을 줄이며(5분 이내) 정확한 진단에 도움을 줍니다. 또한 심장 등의 장기를 평가함에 있어 기존 64채널 CT에 비해
우수한 해상도의 영상을 획득 가능합니다.
160 slice CT는 국내 동물병원에서 최상급 촬영장비(Toshiba Acquilion Prime)에 해당하며 conventional CT 촬영 이외에도 추가적인 body perfusion,
dual energy 등도 가능합니다.
160채널 CT는 고화질 영상으로 숨어있는 비정상적인 문제점들을 찾아내어 진단 및 치료에 도움을 주고 있습니다.
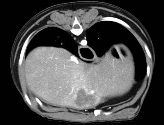
Early arterial phase
Late arterial phase
Portal phase
Delayed phase
3D 재구성을 통해 외과의에게 더욱 정확한 정보를 제공할 수 있어 수술의 위험성을 감소시킵니다.
3kg cardiac CT 3D recon
4kg abdominal aorta 3D recon

01두부 CT
· 이도(외이염, 중이염)의 평가
· 두개골 골절, 두개내 종양 평가
· 비강, 인후두부 종양, 이물, 염증 평가
· 침샘 및 림프절, 갑상선 구조 평가
02흉부 CT
· 심장의 종양 및 혈관기형(PDA 등) 평가
· 폐의 실질 변화 및 종양, 전이 평가
· 종격동 및 기관지, 식도 평가
03복부 CT
· 간, 비장의 종양을 포함한 실질 변화 및 혈관기형(PSS)의 평가
· 소화기, 비뇨기 실질장기의 평가(종양, 이물, 염증 등)
04골격계 CT
· 해부학적 구조 및 종양, 염증의 평가
· 골절, 골종양, 골격계 변형 등
본동물의료센터 수원점
주소 : 경기도 수원시 장안구 경수대로 937 (송죽동 499)
대표전화 : 031-248-8275
Mail : refer@bonamc.co.kr
본동물의료센터 안양점
주소 : 경기도 안양시 동안구 시민대로 370 (관양동 900-9)
대표전화 : 031-396-8275
Mail : ay@bonamc.co.kr
김병진 원장
전문진료 및 주요 연구 분야
학력 정보
경력
학술발표
학회 및 교육과정 이수
수원점 진료스케줄
| 제목 | 작성일 |
|---|---|
|
[수원점] 본동물의료센터 3월 2주 - 3주차 진료 스케줄
|
2026.03.11 |
안양점 진료스케줄
| 제목 | 작성일 |
|---|---|
|
[안양점] 안양본동물의료센터 3월 2주 - 3주차 진료 스케줄
|
2026.03.11 |
황지인 수의사(수원점)
전문진료 및 주요 연구 분야
학력 정보
경력
학회 및 교육과정 이수
진료스케줄
| 제목 | 작성일 |
|---|---|
|
[수원점] 본동물의료센터 3월 2주 - 3주차 진료 스케줄
|
2026.03.11 |
전시원 수의사(수원점)
전문진료 및 주요 연구 분야
학력 정보
경력
진료스케줄
| 제목 | 작성일 |
|---|---|
|
[수원점] 본동물의료센터 3월 2주 - 3주차 진료 스케줄
|
2026.03.11 |
박하연 수의사(수원점)
전문진료 및 주요 연구 분야
학력 정보
경력
진료스케줄
| 제목 | 작성일 |
|---|---|
|
[수원점] 본동물의료센터 3월 2주 - 3주차 진료 스케줄
|
2026.03.11 |
심희주 수의사(수원점)
전문진료 및 주요 연구 분야
학력 정보
경력
진료스케줄
| 제목 | 작성일 |
|---|---|
|
[수원점] 본동물의료센터 3월 2주 - 3주차 진료 스케줄
|
2026.03.11 |
오영주 수의사(수원점)
전문진료 및 주요 연구 분야
학력 정보
경력
학회 및 교육과정 이수
진료스케줄
| 제목 | 작성일 |
|---|---|
|
[수원점] 본동물의료센터 3월 2주 - 3주차 진료 스케줄
|
2026.03.11 |
윤영돈 수의사(수원점)
전문진료 및 주요 연구 분야
학력 정보
경력
진료스케줄
| 제목 | 작성일 |
|---|---|
|
[수원점] 본동물의료센터 3월 2주 - 3주차 진료 스케줄
|
2026.03.11 |
조은재 과장(수원점)
전문진료 및 주요 연구 분야
학력 정보
경력
학술발표
학회 및 교육과정 이수
진료스케줄
| 제목 | 작성일 |
|---|---|
|
[수원점] 본동물의료센터 3월 2주 - 3주차 진료 스케줄
|
2026.03.11 |
박화성 과장(수원점)
전문진료 및 주요 연구 분야
학력 정보
경력
학회 및 교육과정 이수
진료스케줄
| 제목 | 작성일 |
|---|---|
|
[수원점] 본동물의료센터 3월 2주 - 3주차 진료 스케줄
|
2026.03.11 |
이수빈 과장(수원점)
전문진료 및 주요 연구 분야
학력 정보
경력
진료스케줄
| 제목 | 작성일 |
|---|---|
|
[수원점] 본동물의료센터 3월 2주 - 3주차 진료 스케줄
|
2026.03.11 |
최지선 과장(수원점)
전문진료 및 주요 연구 분야
학력 정보
경력
진료스케줄
| 제목 | 작성일 |
|---|---|
|
[수원점] 본동물의료센터 3월 2주 - 3주차 진료 스케줄
|
2026.03.11 |
장효성 과장(수원점)
전문진료 및 주요 연구 분야
학력 정보
경력
진료스케줄
| 제목 | 작성일 |
|---|---|
|
[수원점] 본동물의료센터 3월 2주 - 3주차 진료 스케줄
|
2026.03.11 |
김도윤 부장(수원점)
전문진료 및 주요연구분야
학력 정보
경력
학술발표
학회 및 교육과정 이수
진료스케줄
| 제목 | 작성일 |
|---|---|
|
[수원점] 본동물의료센터 3월 2주 - 3주차 진료 스케줄
|
2026.03.11 |
김기연 과장(안양점)
전문진료 및 주요 연구 분야
학력 정보
경력
학술발표
학회
진료스케줄
| 제목 | 작성일 |
|---|---|
|
[안양점] 안양본동물의료센터 3월 2주 - 3주차 진료 스케줄
|
2026.03.11 |
최규석 원장(수원점)
전문진료 및 주요 연구 분야
학력 정보
경력
학술발표
학회 및 교육과정 이수
진료스케줄
| 제목 | 작성일 |
|---|---|
|
[수원점] 본동물의료센터 3월 2주 - 3주차 진료 스케줄
|
2026.03.11 |
박신 과장(수원점)
전문진료 및 주요연구분야
학력 정보
경력
학술발표
학회 및 교육과정 이수
진료스케줄
| 제목 | 작성일 |
|---|---|
|
[수원점] 본동물의료센터 3월 2주 - 3주차 진료 스케줄
|
2026.03.11 |
이한빈 부장(수원점)
전문진료 및 주요 연구 분야
학력 정보
경력
학술발표
학회
진료스케줄
| 제목 | 작성일 |
|---|---|
|
[수원점] 본동물의료센터 3월 2주 - 3주차 진료 스케줄
|
2026.03.11 |
성현우 과장(안양점)
전문진료 및 주요 연구 분야
학력 정보
경력
학술발표
학회
진료스케줄
| 제목 | 작성일 |
|---|---|
|
[안양점] 안양본동물의료센터 3월 2주 - 3주차 진료 스케줄
|
2026.03.11 |
조재천 과장(수원점)
전문진료 및 주요 연구 분야
학력 정보
경력
학술발표
학회 및 교육과정 이수
진료스케줄
| 제목 | 작성일 |
|---|---|
|
[수원점] 본동물의료센터 3월 2주 - 3주차 진료 스케줄
|
2026.03.11 |
김정문 부장(수원점)
전문진료 및 주요 연구 분야
학력 정보
경력
학술발표 및 수상경력
학회 및 교육과정 이수
진료스케줄
| 제목 | 작성일 |
|---|---|
|
[수원점] 본동물의료센터 3월 2주 - 3주차 진료 스케줄
|
2026.03.11 |
이수현 과장(수원점)
전문진료 및 주요 연구 분야
학력 정보
경력
학술발표 및 수상경력
학회
진료스케줄
| 제목 | 작성일 |
|---|---|
|
[수원점] 본동물의료센터 3월 2주 - 3주차 진료 스케줄
|
2026.03.11 |
조윤정 과장(수원점)
전문진료 및 주요 연구 분야
학력 정보
경력
학회 및 교육과정 이수
진료스케줄
| 제목 | 작성일 |
|---|---|
|
[수원점] 본동물의료센터 3월 2주 - 3주차 진료 스케줄
|
2026.03.11 |
노지선 과장(수원점)
전문진료 및 주요 연구 분야
학력 정보
경력
학술발표
진료스케줄
| 제목 | 작성일 |
|---|---|
|
[수원점] 본동물의료센터 3월 2주 - 3주차 진료 스케줄
|
2026.03.11 |
이건욱 과장(수원점)
전문진료 및 주요 연구 분야
학력 정보
경력
학회 및 교육과정 이수
진료스케줄
| 제목 | 작성일 |
|---|---|
|
[수원점] 본동물의료센터 3월 2주 - 3주차 진료 스케줄
|
2026.03.11 |
김태건 과장(수원점)
전문진료 및 주요 연구 분야
학력 정보
경력
학술발표
학회 및 교육과정 이수
진료스케줄
| 제목 | 작성일 |
|---|---|
|
[수원점] 본동물의료센터 3월 2주 - 3주차 진료 스케줄
|
2026.03.11 |
조희종 부장(수원점)
전문진료 및 주요 연구 분야
학력 정보
경력
학술발표
진료스케줄
| 제목 | 작성일 |
|---|---|
|
[수원점] 본동물의료센터 3월 2주 - 3주차 진료 스케줄
|
2026.03.11 |
정민영 과장(수원점)
전문진료 및 주요 연구 분야
학력 정보
경력
학회 및 교육과정 이수
진료스케줄
| 제목 | 작성일 |
|---|---|
|
[수원점] 본동물의료센터 3월 2주 - 3주차 진료 스케줄
|
2026.03.11 |
양수정 과장(수원점)
전문진료 및 주요 연구 분야
학력 정보
경력
학술발표
학회
진료스케줄
| 제목 | 작성일 |
|---|---|
|
[수원점] 본동물의료센터 3월 2주 - 3주차 진료 스케줄
|
2026.03.11 |
유경아 과장(수원점)
전문진료 및 주요 연구 분야
학력 정보
경력
학술발표
진료스케줄
| 제목 | 작성일 |
|---|---|
|
[수원점] 본동물의료센터 3월 2주 - 3주차 진료 스케줄
|
2026.03.11 |
강현경 과장(안양점)
전문진료 및 주요 연구 분야
학력 정보
경력
학회 및 교육과정 이수
진료스케줄
| 제목 | 작성일 |
|---|---|
|
[안양점] 안양본동물의료센터 3월 2주 - 3주차 진료 스케줄
|
2026.03.11 |
정영은 과장(안양점)
전문진료 및 주요 연구 분야
학력 정보
경력
학술발표
학회 및 교육과정 이수
진료스케줄
| 제목 | 작성일 |
|---|---|
|
[안양점] 안양본동물의료센터 3월 2주 - 3주차 진료 스케줄
|
2026.03.11 |
김용선 대표원장
전문진료 및 주요 연구 분야
학력 정보
경력
학술발표
수상경력
진료스케줄
| 제목 | 작성일 |
|---|---|
|
[수원점] 본동물의료센터 3월 2주 - 3주차 진료 스케줄
|
2026.03.11 |
박나원 과장(안양점)
전문진료 및 주요 연구 분야
학력 정보
경력
학회 및 교육과정 이수
진료스케줄
| 제목 | 작성일 |
|---|---|
|
[안양점] 안양본동물의료센터 3월 2주 - 3주차 진료 스케줄
|
2026.03.11 |
용정연 과장(수원점)
전문진료 및 주요 연구 분야
학력 정보
경력
학술발표
학회
진료스케줄
| 제목 | 작성일 |
|---|---|
|
[수원점] 본동물의료센터 3월 2주 - 3주차 진료 스케줄
|
2026.03.11 |
이민영 과장(수원점)
전문진료 및 주요 연구 분야
학력 정보
경력
학술발표 및 수상경력
학회 및 교육과정 이수
진료스케줄
| 제목 | 작성일 |
|---|---|
|
[수원점] 본동물의료센터 3월 2주 - 3주차 진료 스케줄
|
2026.03.11 |
양한아 수의사(안양점)
전문진료 및 주요 연구 분야
학력 정보
경력
진료스케줄
| 제목 | 작성일 |
|---|---|
|
[안양점] 안양본동물의료센터 3월 2주 - 3주차 진료 스케줄
|
2026.03.11 |
박종원 수의사(수원점)
전문진료 및 주요 연구 분야
학력 정보
경력
진료스케줄
| 제목 | 작성일 |
|---|---|
|
[수원점] 본동물의료센터 3월 2주 - 3주차 진료 스케줄
|
2026.03.11 |
이인기 수의사(수원점)
전문진료 및 주요 연구 분야
학력 정보
경력
진료스케줄
| 제목 | 작성일 |
|---|---|
|
[수원점] 본동물의료센터 3월 2주 - 3주차 진료 스케줄
|
2026.03.11 |
이시열 수의사(수원점)
전문진료 및 주요 연구 분야
학력 정보
경력
진료스케줄
| 제목 | 작성일 |
|---|---|
|
[수원점] 본동물의료센터 3월 2주 - 3주차 진료 스케줄
|
2026.03.11 |
김동윤 수의사(수원점)
전문진료 및 주요 연구 분야
학력 정보
경력
학술발표
진료스케줄
| 제목 | 작성일 |
|---|---|
|
[수원점] 본동물의료센터 3월 2주 - 3주차 진료 스케줄
|
2026.03.11 |
천지현 과장(수원점)
전문진료 및 주요 연구 분야
학력 정보
경력
학술발표
학회 및 교육과정 이수
진료스케줄
| 제목 | 작성일 |
|---|---|
|
[수원점] 본동물의료센터 3월 2주 - 3주차 진료 스케줄
|
2026.03.11 |
김영범 원장
전문진료 및 주요 연구 분야
학력 정보
경력
학술발표
학회 및 교육과정이수
진료스케줄
| 제목 | 작성일 |
|---|---|
|
[수원점] 본동물의료센터 3월 2주 - 3주차 진료 스케줄
|
2026.03.11 |
정혜강 과장(수원점)
전문진료 및 주요 연구 분야
학력 정보
경력
학술발표
진료스케줄
| 제목 | 작성일 |
|---|---|
|
[수원점] 본동물의료센터 3월 2주 - 3주차 진료 스케줄
|
2026.03.11 |
박호승 수의사(안양점)
전문진료 및 주요 연구 분야
학력 정보
경력
진료스케줄
| 제목 | 작성일 |
|---|---|
|
[안양점] 안양본동물의료센터 3월 2주 - 3주차 진료 스케줄
|
2026.03.11 |
박지운 과장(수원점)
전문진료 및 주요 연구 분야
학력 정보
경력
학술발표
학회
진료스케줄
| 제목 | 작성일 |
|---|---|
|
[수원점] 본동물의료센터 3월 2주 - 3주차 진료 스케줄
|
2026.03.11 |
이인서 과장(수원점)
전문진료 및 주요 연구 분야
학력 정보
경력
학술발표 및 수상경력
학회 및 교육과정 이수
진료스케줄
| 제목 | 작성일 |
|---|---|
|
[수원점] 본동물의료센터 3월 2주 - 3주차 진료 스케줄
|
2026.03.11 |
정유현 과장(수원점)
전문진료 및 주요 연구 분야
학력 정보
경력
학술발표 및 수상경력
학회 및 교육과정 이수
진료스케줄
| 제목 | 작성일 |
|---|---|
|
[수원점] 본동물의료센터 3월 2주 - 3주차 진료 스케줄
|
2026.03.11 |
백재훈 과장(수원점)
전문진료 및 주요 연구 분야
학력 정보
경력
학술발표
학회 및 교육과정 이수
진료스케줄
| 제목 | 작성일 |
|---|---|
|
[수원점] 본동물의료센터 3월 2주 - 3주차 진료 스케줄
|
2026.03.11 |
양성모 수의사(수원점)
전문진료 및 주요 연구 분야
학력 정보
경력
진료스케줄
| 제목 | 작성일 |
|---|---|
|
[수원점] 본동물의료센터 3월 2주 - 3주차 진료 스케줄
|
2026.03.11 |
유승연 과장(수원점)
전문진료 및 주요 연구 분야
학력 정보
경력
학술발표 및 수상경력
학회
진료스케줄
| 제목 | 작성일 |
|---|---|
|
[수원점] 본동물의료센터 3월 2주 - 3주차 진료 스케줄
|
2026.03.11 |
윤소희 과장(수원점)
전문진료 및 주요 연구 분야
학력 정보
경력
학술발표
학회 및 교육과정 이수
진료스케줄
| 제목 | 작성일 |
|---|---|
|
[수원점] 본동물의료센터 3월 2주 - 3주차 진료 스케줄
|
2026.03.11 |
류예빈 부장(수원점)
전문진료 및 주요 연구 분야
학력 정보
경력
학술발표
학회 및 교육과정 이수
진료스케줄
| 제목 | 작성일 |
|---|---|
|
[수원점] 본동물의료센터 3월 2주 - 3주차 진료 스케줄
|
2026.03.11 |
김성훈 부장(수원점)
전문진료 및 주요 연구 분야
학력 정보
경력
학술발표
학회 및 교육과정 이수
진료스케줄
| 제목 | 작성일 |
|---|---|
|
[수원점] 본동물의료센터 3월 2주 - 3주차 진료 스케줄
|
2026.03.11 |
서동희 수의사(안양점)
전문진료 및 주요 연구 분야
학력 정보
경력
학회 및 교육과정 이수
진료스케줄
| 제목 | 작성일 |
|---|---|
|
[안양점] 안양본동물의료센터 3월 2주 - 3주차 진료 스케줄
|
2026.03.11 |
이저순 부장(안양점)
전문진료 및 주요 연구 분야
학력 정보
경력
학술발표
진료스케줄
| 제목 | 작성일 |
|---|---|
|
[안양점] 안양본동물의료센터 3월 2주 - 3주차 진료 스케줄
|
2026.03.11 |
최미현 원장
전문진료 및 주요 연구 분야
학력 정보
경력
학술발표 및 수상경력
학회
수원점 진료스케줄
| 제목 | 작성일 |
|---|---|
|
[수원점] 본동물의료센터 3월 2주 - 3주차 진료 스케줄
|
2026.03.11 |
안양점 진료스케줄
| 제목 | 작성일 |
|---|---|
|
[안양점] 안양본동물의료센터 3월 2주 - 3주차 진료 스케줄
|
2026.03.11 |
연제용 과장(안양점)
전문진료 및 주요 연구 분야
학력 정보
경력
진료스케줄
| 제목 | 작성일 |
|---|---|
|
[안양점] 안양본동물의료센터 3월 2주 - 3주차 진료 스케줄
|
2026.03.11 |
강성운 과장(안양점)
전문진료 및 주요 연구 분야
학력 정보
경력
진료스케줄
| 제목 | 작성일 |
|---|---|
|
[안양점] 안양본동물의료센터 3월 2주 - 3주차 진료 스케줄
|
2026.03.11 |
안서린 수의사(안양점)
전문진료 및 주요 연구 분야
학력 정보
경력
진료스케줄
| 제목 | 작성일 |
|---|---|
|
[안양점] 안양본동물의료센터 3월 2주 - 3주차 진료 스케줄
|
2026.03.11 |
유세연 수의사(안양점)
전문진료 및 주요 연구 분야
학력 정보
경력
진료스케줄
| 제목 | 작성일 |
|---|---|
|
[안양점] 안양본동물의료센터 3월 2주 - 3주차 진료 스케줄
|
2026.03.11 |
하진욱 수의사(안양점)
전문진료 및 주요 연구 분야
학력 정보
경력
학회 및 교육과정 이수
진료스케줄
| 제목 | 작성일 |
|---|---|
|
[안양점] 안양본동물의료센터 3월 2주 - 3주차 진료 스케줄
|
2026.03.11 |
조윤정 수의사(안양점)
전문진료 및 주요 연구 분야
학력 정보
경력
학회 및 교육과정 이수
진료스케줄
| 제목 | 작성일 |
|---|---|
|
[안양점] 안양본동물의료센터 3월 2주 - 3주차 진료 스케줄
|
2026.03.11 |
강승우 과장(안양점)
전문진료 및 주요 연구 분야
학력 정보
경력
학회
진료스케줄
| 제목 | 작성일 |
|---|---|
|
[안양점] 안양본동물의료센터 3월 2주 - 3주차 진료 스케줄
|
2026.03.11 |
강희준 과장(안양점)
전문진료 및 주요 연구 분야
학력 정보
경력
학술발표
학회 및 교육과정 이수
진료스케줄
| 제목 | 작성일 |
|---|---|
|
[안양점] 안양본동물의료센터 3월 2주 - 3주차 진료 스케줄
|
2026.03.11 |
김문범 과장(안양점)
전문진료 및 주요 연구 분야
학력 정보
경력
학술발표
진료스케줄
| 제목 | 작성일 |
|---|---|
|
[안양점] 안양본동물의료센터 3월 2주 - 3주차 진료 스케줄
|
2026.03.11 |
강은하 부장(안양점)
전문진료 및 주요 연구 분야
학력 정보
경력
학술발표
학회
진료스케줄
| 제목 | 작성일 |
|---|---|
|
[안양점] 안양본동물의료센터 3월 2주 - 3주차 진료 스케줄
|
2026.03.11 |
안태준 수의사(수원점)
전문진료 및 주요 연구 분야
학력 정보
경력
학회
진료스케줄
| 제목 | 작성일 |
|---|---|
|
[수원점] 본동물의료센터 3월 2주 - 3주차 진료 스케줄
|
2026.03.11 |
정주형 수의사(수원점)
전문진료 및 주요 연구 분야
학력 정보
경력
진료스케줄
| 제목 | 작성일 |
|---|---|
|
[수원점] 본동물의료센터 3월 2주 - 3주차 진료 스케줄
|
2026.03.11 |
이선형 수의사(수원점)
전문진료 및 주요 연구 분야
학력 정보
경력
학회 및 교육과정 이수
진료스케줄
| 제목 | 작성일 |
|---|---|
|
[수원점] 본동물의료센터 3월 2주 - 3주차 진료 스케줄
|
2026.03.11 |
강지연 수의사(수원점)
전문진료 및 주요 연구 분야
학력 정보
경력
진료스케줄
| 제목 | 작성일 |
|---|---|
|
[수원점] 본동물의료센터 3월 2주 - 3주차 진료 스케줄
|
2026.03.11 |
조한슬 수의사(수원점)
전문진료 및 주요 연구 분야
학력 정보
경력
학회
진료스케줄
| 제목 | 작성일 |
|---|---|
|
[수원점] 본동물의료센터 3월 2주 - 3주차 진료 스케줄
|
2026.03.11 |
신미현 수의사(수원점)
전문진료 및 주요 연구 분야
학력 정보
경력
학술발표
진료스케줄
| 제목 | 작성일 |
|---|---|
|
[수원점] 본동물의료센터 3월 2주 - 3주차 진료 스케줄
|
2026.03.11 |
이연재 수의사
전문진료 및 주요 연구 분야
학력 정보
경력
진료스케줄
| 제목 | 작성일 |
|---|---|
|
[수원점] 본동물의료센터 3월 2주 - 3주차 진료 스케줄
|
2026.03.11 |
박철의 수의사(수원점)
전문진료 및 주요 연구 분야
학력 정보
경력
학회 및 교육과정 이수
진료스케줄
| 제목 | 작성일 |
|---|---|
|
[수원점] 본동물의료센터 3월 2주 - 3주차 진료 스케줄
|
2026.03.11 |
조승우 부장(수원점)
전문진료 및 주요 연구 분야
학력 정보
경력
학회
진료스케줄
| 제목 | 작성일 |
|---|---|
|
[수원점] 본동물의료센터 3월 2주 - 3주차 진료 스케줄
|
2026.03.11 |
장원우 과장(수원점)
전문진료 및 주요 연구 분야
학력 정보
경력
진료스케줄
| 제목 | 작성일 |
|---|---|
|
[수원점] 본동물의료센터 3월 2주 - 3주차 진료 스케줄
|
2026.03.11 |
조윤성 과장(수원점)
전문진료 및 주요 연구 분야
학력 정보
경력
진료스케줄
| 제목 | 작성일 |
|---|---|
|
[수원점] 본동물의료센터 3월 2주 - 3주차 진료 스케줄
|
2026.03.11 |
정현준 과장(수원점)
전문진료 및 주요 연구 분야
학력 정보
경력
학회 및 교육과정 이수
진료스케줄
| 제목 | 작성일 |
|---|---|
|
[수원점] 본동물의료센터 3월 2주 - 3주차 진료 스케줄
|
2026.03.11 |
소준경 과장(수원점)
전문진료 및 주요 연구 분야
학력 정보
경력
학술발표
학회
진료스케줄
| 제목 | 작성일 |
|---|---|
|
[수원점] 본동물의료센터 3월 2주 - 3주차 진료 스케줄
|
2026.03.11 |
원지훈 과장(수원점)
전문진료 및 주요 연구 분야
학력 정보
경력
진료스케줄
| 제목 | 작성일 |
|---|---|
|
[수원점] 본동물의료센터 3월 2주 - 3주차 진료 스케줄
|
2026.03.11 |
정윤희 과장(수원점)
전문진료 및 주요 연구 분야
학력 정보
경력
학술발표 및 수상경력
학회
진료스케줄
| 제목 | 작성일 |
|---|---|
|
[수원점] 본동물의료센터 3월 2주 - 3주차 진료 스케줄
|
2026.03.11 |
이은지 부장(수원점)
전문진료 및 주요 연구 분야
학력 정보
경력
학술발표
학회
진료스케줄
| 제목 | 작성일 |
|---|---|
|
[수원점] 본동물의료센터 3월 2주 - 3주차 진료 스케줄
|
2026.03.11 |
송아람 부장(수원점)
전문진료 및 주요 연구 분야
학력 정보
경력
학술발표
진료스케줄
| 제목 | 작성일 |
|---|---|
|
[수원점] 본동물의료센터 3월 2주 - 3주차 진료 스케줄
|
2026.03.11 |
류자연 원장(수원점)
전문진료 및 주요 연구 분야
학력 정보
경력
학술발표
학회
진료스케줄
| 제목 | 작성일 |
|---|---|
|
[수원점] 본동물의료센터 3월 2주 - 3주차 진료 스케줄
|
2026.03.11 |
장호진 원장
전문진료 및 주요 연구 분야
학력 정보
경력
수상경력
학회
진료스케줄
| 제목 | 작성일 |
|---|---|
|
[수원점] 본동물의료센터 3월 2주 - 3주차 진료 스케줄
|
2026.03.11 |
김기웅 원장
전문진료 및 주요 연구 분야
학력 정보
경력
학술발표 및 수상경력
학회
진료스케줄
| 제목 | 작성일 |
|---|---|
|
[안양점] 안양본동물의료센터 3월 2주 - 3주차 진료 스케줄
|
2026.03.11 |
이승훈 부장
전문진료 및 주요 연구 분야
학력 정보
경력
학술발표 및 수상경력
학회 및 교육과정 이수
진료스케줄
| 제목 | 작성일 |
|---|---|
|
[안양점] 안양본동물의료센터 3월 2주 - 3주차 진료 스케줄
|
2026.03.11 |
장원우 과장
전문진료 및 주요 연구 분야
학력 정보
경력
진료스케줄
| 제목 | 작성일 |
|---|---|
|
[수원점] 본동물의료센터 3월 2주 - 3주차 진료 스케줄
|
2026.03.11 |
박수진 수의사
전문진료 및 주요 연구 분야
학력 정보
경력
학회 및 교육과정 이수
진료스케줄
| 제목 | 작성일 |
|---|---|
|
[안양점] 안양본동물의료센터 3월 2주 - 3주차 진료 스케줄
|
2026.03.11 |
이제형 수의사
전문진료 및 주요 연구 분야
학력 정보
경력
학회 및 교육과정 이수
진료스케줄
| 제목 | 작성일 |
|---|---|
|
[수원점] 본동물의료센터 3월 2주 - 3주차 진료 스케줄
|
2026.03.11 |
유석환 과장
전문진료 및 주요 연구 분야
학력 정보
경력
학회 및 교육과정 이수
진료스케줄
| 제목 | 작성일 |
|---|---|
|
[수원점] 본동물의료센터 3월 2주 - 3주차 진료 스케줄
|
2026.03.11 |
시상우 수의사
전문진료 및 주요 연구 분야
학력 정보
경력
진료스케줄
| 제목 | 작성일 |
|---|---|
|
[수원점] 본동물의료센터 3월 2주 - 3주차 진료 스케줄
|
2026.03.11 |
박하은 과장
전문진료 및 주요 연구 분야
학력 정보
경력
학회 및 교육과정 이수
진료스케줄
| 제목 | 작성일 |
|---|---|
|
[수원점] 본동물의료센터 3월 2주 - 3주차 진료 스케줄
|
2026.03.11 |
박상훈 과장
전문진료 및 주요 연구 분야
학력 정보
경력
학회 및 교육과정 이수
진료스케줄
| 제목 | 작성일 |
|---|---|
|
[수원점] 본동물의료센터 3월 2주 - 3주차 진료 스케줄
|
2026.03.11 |
이지현 수의사
전문진료 및 주요 연구 분야
학력 정보
경력
진료스케줄
| 제목 | 작성일 |
|---|---|
|
[수원점] 본동물의료센터 3월 2주 - 3주차 진료 스케줄
|
2026.03.11 |
김예원 수의사
전문진료 및 주요 연구 분야
학력 정보
경력
진료스케줄
| 제목 | 작성일 |
|---|---|
|
[수원점] 본동물의료센터 3월 2주 - 3주차 진료 스케줄
|
2026.03.11 |
박두환 수의사
전문진료 및 주요 연구 분야
학력 정보
경력
학회 및 교육과정 이수
진료스케줄
| 제목 | 작성일 |
|---|---|
|
[안양점] 안양본동물의료센터 3월 2주 - 3주차 진료 스케줄
|
2026.03.11 |
채현우 과장
전문진료 및 주요 연구 분야
학력 정보
경력
진료스케줄
| 제목 | 작성일 |
|---|---|
|
[수원점] 본동물의료센터 3월 2주 - 3주차 진료 스케줄
|
2026.03.11 |
박정훈 수의사
전문진료 및 주요 연구 분야
학력 정보
경력
진료스케줄
| 제목 | 작성일 |
|---|---|
|
[수원점] 본동물의료센터 3월 2주 - 3주차 진료 스케줄
|
2026.03.11 |
김수안 과장
전문진료 및 주요 연구 분야
학력 정보
경력
학술발표 및 수상경력
학회 및 교육과정 이수
진료스케줄
| 제목 | 작성일 |
|---|---|
|
[안양점] 안양본동물의료센터 3월 2주 - 3주차 진료 스케줄
|
2026.03.11 |
오지원 과장
전문진료 및 주요 연구 분야
학력 정보
경력
학술발표 및 수상경력
학회 및 교육과정 이수
진료스케줄
| 제목 | 작성일 |
|---|---|
|
[안양점] 안양본동물의료센터 3월 2주 - 3주차 진료 스케줄
|
2026.03.11 |
천수빈 과장
전문진료 및 주요 연구 분야
학력 정보
경력
학술발표 및 수상경력
학회 및 교육과정 이수
진료스케줄
| 제목 | 작성일 |
|---|---|
|
[안양점] 안양본동물의료센터 3월 2주 - 3주차 진료 스케줄
|
2026.03.11 |
채서현 과장
전문진료 및 주요 연구 분야
학력 정보
경력
진료스케줄
| 제목 | 작성일 |
|---|---|
|
[안양점] 안양본동물의료센터 3월 2주 - 3주차 진료 스케줄
|
2026.03.11 |
이승연 수의사
전문진료 및 주요 연구 분야
학력 정보
경력
학회 및 교육과정 이수
진료스케줄
| 제목 | 작성일 |
|---|---|
|
[안양점] 안양본동물의료센터 3월 2주 - 3주차 진료 스케줄
|
2026.03.11 |
강은서 수의사
전문진료 및 주요 연구 분야
학력 정보
경력
학회 및 교육과정 이수
진료스케줄
| 제목 | 작성일 |
|---|---|
|
[안양점] 안양본동물의료센터 3월 2주 - 3주차 진료 스케줄
|
2026.03.11 |
홍은기 수의사
전문진료 및 주요 연구 분야
학력 정보
경력
진료스케줄
| 제목 | 작성일 |
|---|---|
|
[수원점] 본동물의료센터 3월 2주 - 3주차 진료 스케줄
|
2026.03.11 |
김희령 수의사
전문진료 및 주요 연구 분야
학력 정보
경력
진료스케줄
| 제목 | 작성일 |
|---|---|
|
[안양점] 안양본동물의료센터 3월 2주 - 3주차 진료 스케줄
|
2026.03.11 |
김지연 수의사
전문진료 및 주요 연구 분야
학력 정보
경력
진료스케줄
| 제목 | 작성일 |
|---|---|
|
[안양점] 안양본동물의료센터 3월 2주 - 3주차 진료 스케줄
|
2026.03.11 |
김지선 수의사
전문진료 및 주요 연구 분야
학력 정보
경력
학회 및 교육과정 이수
진료스케줄
| 제목 | 작성일 |
|---|---|
|
[안양점] 안양본동물의료센터 3월 2주 - 3주차 진료 스케줄
|
2026.03.11 |
정성훈 수의사
전문진료 및 주요 연구 분야
학력 정보
경력
학회 및 교육과정 이수
진료스케줄
| 제목 | 작성일 |
|---|---|
|
[안양점] 안양본동물의료센터 3월 2주 - 3주차 진료 스케줄
|
2026.03.11 |
박연희 과장
전문진료 및 주요 연구 분야
학력 정보
경력
학회 및 교육과정 이수
진료스케줄
| 제목 | 작성일 |
|---|---|
|
[안양점] 안양본동물의료센터 3월 2주 - 3주차 진료 스케줄
|
2026.03.11 |
백록담 과장
전문진료 및 주요 연구 분야
학력 정보
경력
진료스케줄
| 제목 | 작성일 |
|---|---|
|
[안양점] 안양본동물의료센터 3월 2주 - 3주차 진료 스케줄
|
2026.03.11 |
이상율 수의사
전문진료 및 주요 연구 분야
학력 정보
경력
진료스케줄
| 제목 | 작성일 |
|---|---|
|
[수원점] 본동물의료센터 3월 2주 - 3주차 진료 스케줄
|
2026.03.11 |
김석현 수의사
전문진료 및 주요 연구 분야
학력 정보
경력
진료스케줄
| 제목 | 작성일 |
|---|---|
|
[수원점] 본동물의료센터 3월 2주 - 3주차 진료 스케줄
|
2026.03.11 |
구재훈 수의사
전문진료 및 주요 연구 분야
학력 정보
경력
학회 및 교육과정 이수
진료스케줄
| 제목 | 작성일 |
|---|---|
|
[수원점] 본동물의료센터 3월 2주 - 3주차 진료 스케줄
|
2026.03.11 |
최윤서 수의사
전문진료 및 주요 연구 분야
학력 정보
경력
진료스케줄
| 제목 | 작성일 |
|---|---|
|
[수원점] 본동물의료센터 3월 2주 - 3주차 진료 스케줄
|
2026.03.11 |
조민지 수의사
전문진료 및 주요 연구 분야
학력 정보
경력
진료스케줄
| 제목 | 작성일 |
|---|---|
|
[수원점] 본동물의료센터 3월 2주 - 3주차 진료 스케줄
|
2026.03.11 |
손다빈 수의사
전문진료 및 주요 연구 분야
학력 정보
경력
학회 및 교육과정 이수
진료스케줄
| 제목 | 작성일 |
|---|---|
|
[수원점] 본동물의료센터 3월 2주 - 3주차 진료 스케줄
|
2026.03.11 |
김소미 과장
전문진료 및 주요 연구 분야
학력 정보
경력
학회 및 교육과정 이수
진료스케줄
| 제목 | 작성일 |
|---|---|
|
[수원점] 본동물의료센터 3월 2주 - 3주차 진료 스케줄
|
2026.03.11 |
진희정 과장
전문진료 및 주요 연구 분야
학력 정보
경력
학술발표 및 수상경력
학회 및 교육과정 이수
진료스케줄
| 제목 | 작성일 |
|---|---|
|
[수원점] 본동물의료센터 3월 2주 - 3주차 진료 스케줄
|
2026.03.11 |
정지연 과장
전문진료 및 주요 연구 분야
학력 정보
경력
진료스케줄
| 제목 | 작성일 |
|---|---|
|
[안양점] 안양본동물의료센터 3월 2주 - 3주차 진료 스케줄
|
2026.03.11 |
정진형 과장
전문진료 및 주요 연구 분야
학력 정보
경력
학회 및 교육과정 이수
진료스케줄
| 제목 | 작성일 |
|---|---|
|
[안양점] 안양본동물의료센터 3월 2주 - 3주차 진료 스케줄
|
2026.03.11 |
김형준 수의사
전문진료 및 주요 연구 분야
학력 정보
경력
학회 및 교육과정 이수
진료스케줄
| 제목 | 작성일 |
|---|---|
|
[안양점] 안양본동물의료센터 3월 2주 - 3주차 진료 스케줄
|
2026.03.11 |
김형기 수의사
전문진료 및 주요 연구 분야
학력 정보
경력
학술발표 및 수상경력
학회 및 교육과정 이수
진료스케줄
| 제목 | 작성일 |
|---|---|
|
[안양점] 안양본동물의료센터 3월 2주 - 3주차 진료 스케줄
|
2026.03.11 |
강수연 진료수의사
전문진료 및 주요 연구 분야
학력 정보
경력
진료스케줄
| 제목 | 작성일 |
|---|---|
|
[수원점] 본동물의료센터 3월 2주 - 3주차 진료 스케줄
|
2026.03.11 |
원상흠 진료부 부장
학력 정보
경력
연수 / 학술활동
진료스케줄
| 제목 | 작성일 |
|---|---|
|
[안양점] 안양본동물의료센터 3월 2주 - 3주차 진료 스케줄
|
2026.03.11 |
정다정 안과/치과 과장
학력 정보
경력
연수 / 학술활동
진료스케줄
| 제목 | 작성일 |
|---|---|
|
[안양점] 안양본동물의료센터 3월 2주 - 3주차 진료 스케줄
|
2026.03.11 |
김민성 진료수의사
학력 정보
진료스케줄
| 제목 | 작성일 |
|---|---|
|
[안양점] 안양본동물의료센터 3월 2주 - 3주차 진료 스케줄
|
2026.03.11 |
장혁 진료수의사
학력 정보
진료스케줄
| 제목 | 작성일 |
|---|---|
|
[안양점] 안양본동물의료센터 3월 2주 - 3주차 진료 스케줄
|
2026.03.11 |








