Skip to main content

단백소실성장병증(PLE)

단백소실성 장병증은 3주 이상 지속되는 만성 설사를 유발하는 원인 중 하나로, 만성장병증 중에 장을 통한 단백질 소실(알부민)이 발생하는 질환을 뜻한다.

 

만성장병증은 치료반응에 따라 1. 식이 반응성 장병증, 2. 항생제 반응성 장병증 3. 스테로이드 반응성 장병증 4. 불응성 장병증으로 분류 할 수 있다.

 

단백소실성 장병증의 증상으로 복수 및 흉수 발생으로 인한 복부 팽만, 호흡곤란, 말단 부위 부종, 3주 이상 지속되는 설사, 기력저하 등의 증상이 나타날 수 있고  발병 원인으로는 원발성 장 림프관확장증, IBD, 장 종양 등 심각하게 진행된 장 질병들이 있으며, 정확한 진단을 위해서는 조직 검사가 필요하다.

단백소실장병증(PLE) 증상 및 진단

실제 본원에 내원한 환자를 살펴 보면 비숑프리제, 중성화한 암컷 6살령 강아지 보니(가명)가 강직증상으로 응급 내원하였다.

 

보니는 평소 식욕 매우 양호한 편이나 3주 이상 설사 지속되었고, 복부 팽만 및 기력저하를 보이고, 내원 직전 강직증상 처음으로 발생하였다고 한다.

(혈액 검사, 요 검사)

스크리닝을 위한 기본 혈액 검사 시 저칼슘혈증, 저알부민혈증, 저콜레스테롤혈증이 확인되었으며, 요검사에서 단백뇨는 확인되지 않았다.

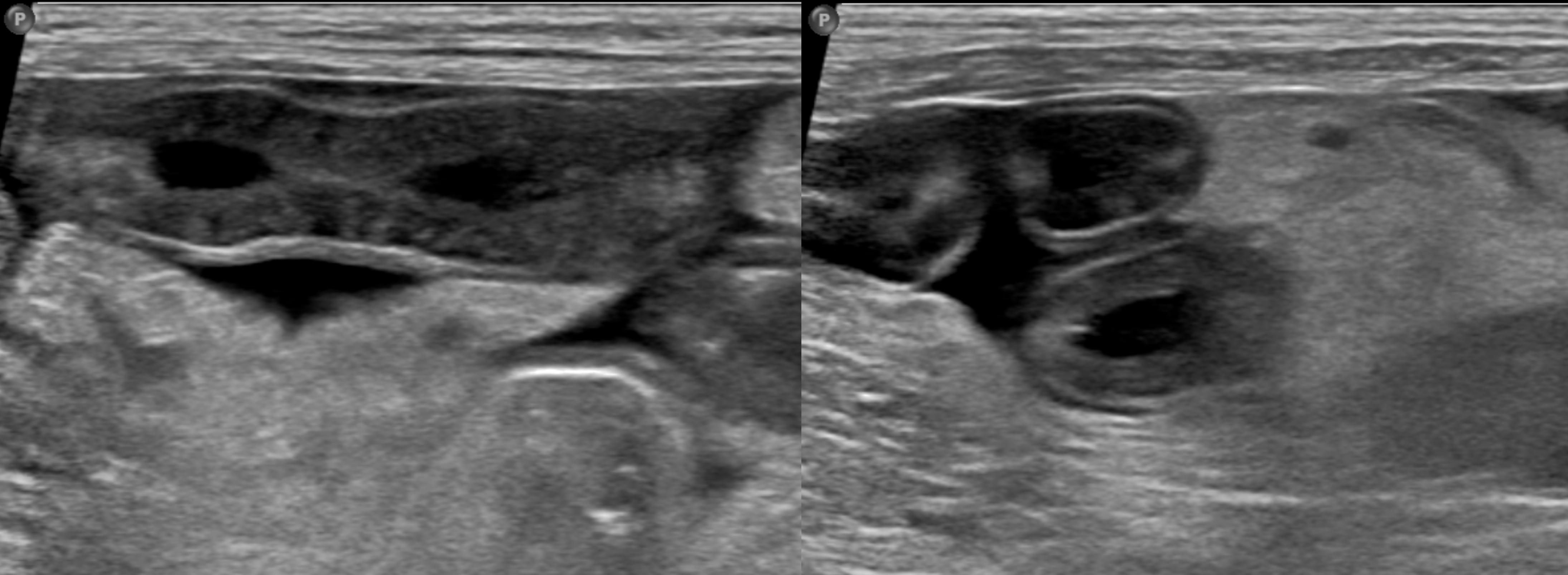
(초음파 검사)

초음파 검사 결과  복수 및 장간막 부종성 변화와 더불어 공장 분절 광범위한 부위에서 lymphangiectasis 의심 소견이 확인되었다.

보니는 문진상 3주 이상 지속되는 만성 설사를 보였으며, 혈액검사에서 저알부민혈증이 확인되었다.

 

저알부민혈증 유발 원인으로 초음파 상 lymphangiectasis 의심 소견이 확인되며, 저칼슘혈증, 저콜레스테롤혈증이 동반된 점으로 보아, 로이의 만성설사의 원인은 단백소실성 장병증(PLE)으로 잠정 진단하였다.

단백소실장병증(PLE) 치료 및 경과

내원 당시 이온화칼슘이 낮아 저칼슘혈증으로 인한 신경증상 발생이 확인되어, 정맥 수액을 통한 칼슘 투여를 진행하였고 저알부민혈증 교정 위해 알부민 수혈을 진행하였다. 또한 림프관확장증 개선을 위해 Octreotide 투여 및 식이반응성/스테로이드 반응성 장병증에 준해 저지방/저알러지 사료로 식이 변경 및 스테로이드 투약을 시작하였다.

 

퇴원 후 환자는 저지방/저알러지 사료와 스테로이드 병용 투약하며 스테로이드를 점진적으로 감량하며 단약 후, 식이 조절만으로 관리하는 것을 목표로 하였다.

보니는 다행히 치료에 반응이 좋아 식이 관리 및 스테로이드 병용 투약하며 Octreotide 주사 결과 알부민 수치는 빠르게 상승하였고, 알부민 수치 개선 보이며 이온화 칼슘 수치도 같이 동반 상승 확인되었다.

 

알부민 수치 상승에 따른 복수량 감소 및 부종 감소 보이며 체중도 감소하여 평소 체중과 유사한 체중으로 확인되었고, 배변 양상도 물설사에서 조금씩 형태 있는 무른변으로 개선을 보였습니다.

본동물의료센터에서는 심한 저알부민혈증이 동반된 단백소실성 장병증 환자들이 응급 내원 시 알부민 수혈이 가능하며, 저칼슘혈증으로 인한 신경증상 발생 시 정맥 칼슘 투여를 통한 응급 조치가 가능하다.  또한 기존 식이/스테로이드에 대해 치료반응이 떨어지거나 단백소실성 장병증 환자들의 입원 기간을 단축 시키기 위해 Octreotide 투여도 실시하고 있다.

본동물의료센터

24시간 중환자 관리 시스템을 갖춘 2차동물병으로

중증 질환을 가진 동물들을 치료하고 있습니다.

 

모두가 자고 있는 새벽에도

본동물의료센터 의료진들은 아픈 아이들을 돌보며 치료를 이어가고 있습니다.

모든 아이들이 아픔을 떨쳐내고, 다시 가족의 품에 돌아갈 수 있도록

끊임없이 노력하겠습니다.

 

본동물의료센터[수원] 오시는 길(클릭)

 

 안양본동물의료센터 오시는 길(클릭)

Leave a Reply